Dr Namnoum Logo

Dr. James D. Namnoum | Board Certified Plastic and Reconstructive Surgeon

Patient Gallery

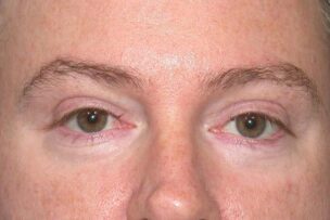
Eyelid Surgery

Back to Gallery Eyelid Surgery

Patient 1

View Photos

Patient 2

View Photos

Patient 3

View Photos

Patient 4

View Photos

Patient 5

View Photos

Patient 6

View Photos

Patient 7

View Photos